Combination therapy with vitamin D3, progesterone, omega-3 fatty acids, and glutamine reverses coma and improves clinical outcomes in patients with severe traumatic brain injuries: A case series of three patients
IJCRI - International Journal of Case Reports and Images, Vol. No. 2013. ISSN - [0976-3198]
Leslie R Matthews 1, Omar K Danner1, Y A Ahmed2, Diane M Dennis-Griggs1, Alexis Frederick1, Clarence Clark1, Ronald Moore1, Wilson DuMornay1, Ed W Childs1, Kenneth L Wilson1
Affiliations:1 Morehouse School of Medicine, Department of Surgery, 720 Westview Drive, SW, Atlanta, GA, USA, department of Epidemiology, King Saud University, College of Pharmacy, Riyadh, Kingdom of Saudia of Arabia.
Corresponding Author: Leslie Ray Matthews, lematthews@msm .edu
See also VitaminDWiki
- Vitamin D and Glutamine resulted in 2.6X reduction in trauma center mortality rate – Dec 2014 Matthews, etc.
- Concussions (traumatic brain injury) getting big press coverage, vitamin D might be both a cause and a solution
- Traumatic Brain Injuries routinely treated by Vitamin D, Omega-3, Progesterone and Gluatmine
- Vitamin D and Glutamine reduced Trauma Center deaths by half – Matthews March 2017
- Spinal cord problems more likely if TBI if little Omega-3 in diet – June 2013
- High-fructose diet slows recovery from brain injury - TBI, rats - Oct 2015
- Mild Traumatic Brain Injury reduced by Vitamin D – May 2014
- Magnesium may be an important way to treat brain trauma
- Search VitaminDWiki for "TRAUMATIC BRAIN INJURY" 96 items as of June 2016
- Vitamin D advocate (Dr. Matthews) is now in Who’s Who Marquis – Feb 2018
- Trauma and surgery category listing has
367 items along with related searches LLLT and Heat Shock Proteins in VitaminDWiki
Progesterone
- Vitamin D aided progesterone in reducing traumatic brain injury – RCT Dec 2012
- Progesterone enhances Vitamin D ability to regulate T cells and immunity – Dec 2014
- Progesterone activates vitamin D receptor - many studies
- Search VitaminDWiki for PROGESTERONE 743 items as of Feb 2019
- Stroke recovery was aided by vitamin D and Progesterone (in rats) – Feb 2019
See also web
- Fish Oil Cited in Dramatic Healing After Severe Brain Trauma Mercola, Feb 2014
Interview: video and transcript,: 20 grams of Omega-3 per day after TBI - Vitamin D, Concussions, and Traumatic Brain Injuries
YouTube video - 4 minute TV news item - Dr. Matthews - case of teenage girl with auto accident and serious TBI
fixed with a few dollars of Vitamin D, etc
9 citations of the study as of May 2019
- Nutritional Treatment for Traumatic Brain Injury June 2014 https://doi.org/10.1089/neu.2013.3234
- Functional Medicine Approach to Traumatic Brain Injury Aug 2017 https://doi.org/10.1089/acu.2017.1217
- Progesterone versus combination therapy of progesterone, ω3 fatty acids, glutamine and vitamin D 3 in improving clinical outcome in patients with traumatic brain injuries July 2015 free PDF
 Download the Final PDF from VitaminDWiki
The following is from earlier ACCEPTED MANUSCRIPT PROVISIONAL PDF
ABSTRACT
Introduction: Traumatic brain injury (TBI) is a major public health problem and a leading cause of death and disability in the United States. Management of patients with TBI has changed very little over the last 20 years. Case Series: A case series of three patients with severe TBIs who were aggressively treated with vitamin D3, progesterone, omega 3-fatty acids, and enteral glutamine for six weeks, termed neuroceutical augmentation for traumatic brain injury (NATBI), with very favorable outcomes. Conclusion: A large clinical study trial using these four supplements (NATBI) together is warranted.
INTRODUCTION
Traumatic brain injury (TBI) is a major public health problem which affects over 1.7 million people annually with 275,000 hospitalizations and 52,000 deaths in the U.S. according to the CDC [1]. The medical cost for treating TBI patients in the United States in 2010 was $76.5 billion and rising annually [1]. Primary causes for TBI include the following: motor vehicle crashes, falls, assaults and sports or recreation-related injuries (concussions). Finding the right treatment to reduce mortality rates and improve the clinical outcomes in TBI patients has been elusive.
Management of patients with TBI has changed very little over the last 20 years. We present a case series of three patients with severe TBIs who were aggressively treated with vitamin D3, progesterone, omega-3 fatty acids and enteral glutamine for up to six weeks, termed neuroceutical augmentation for traumatic brain injury (NATBI), with very favorable outcomes [2-5]. NATBI protocol works on multiple levels and neuroprotective pathways in TBI patients by down regulating cytokine production, preventing oxidative stress (free radical oxygen formation), decreasing cerebral edema, and inflammation, thus limiting secondary injury brain injury in contradistinction to progesterone therapy alone (Protect III study) [3-5]. In addition, our NATBI regimen is relatively inexpensive, safe, and very effective at reducing brain and systemic inflammation post-injury.
Advancements in the treatment of TBI requires great understanding of the biochemical mechanisms of the brain during a normal resting state as well as the metabolism after a severe traumatic event. Brain metabolism is markedly altered during TBI. After the initial insult to the brain, the brain's metabolism is altered and can increase up to 140% of its normal metabolism.
Vitamin D (a steroid hormone) and omega-3 fatty acids (an essential fatty acid) are both very powerful anti-inflammatory agents that reduce cerebral edema and swelling. Glutamine becomes an essential amino acid during stress and produces the extra glucose (via the Cori cycle) that is used by the injured brain and the extra glucose used by the immune response system to fight off infection during stress. Progesterone (also a steroid hormone) is a neuroprotector of injured brain cells and potentiates the effect of vitamin D.
These agents are all immune modulators which work synergistically to prevent secondary brain injury by limiting or decreasing inflammation, an increasing well-recognized cause of ongoing brain swelling after a primary injury. They are also neuroprotectors that makes the neurons more resistant to stress, ischemia, hypothermia, hyperthermia, hypoglycemia, hyperglycemia, hypotension, and hypertension. Immune modulation with nutritional supplements is a rapidly advancing field with a very promising future in treating TBI as well as other critically injured/ill patients.
Patients in a coma with severe TBI (Glascow Coma Score <8) who were admitted to a Level I trauma center were evaluated in a prospective observational study. Patients were treated with a neuroceutical combination of vitamin D3, omega-3 fatty acids, progesterone, and glutamine initially via a nasogastric tube and later orally for six weeks. Primary outcomes were mortality rate and return to recovery which was defined as a Glascow Coma Score (GCS) of 10 or greater.CASE REPORT
Case 1: Patient 1 is a 17-year-old female restrained driver, who was involved in a single car, multiple rollover motor vehicle crash with a 10 foot ejection presented to the Emergency Department intubated and unresponsive with a GCS of five out of fifteen. Her physical exam was notable for a blood pressure of 105/56 mmHg, pulse of 87 beats/min, temperature of 37.7 C, respiratory rate of 20, and oxygen saturation of 100% on the ventilator. Her secondary survey revealed unequal pupils with discordant reactivity. Her right pupil was 8 mm and non-reactive to light and her left pupil was 3 mm and reactive to light. Ominously, she was noted to have decerebrate posturing of both the upper and lower extremities bilaterally. On further examination, a 5 cm laceration to the right lower anterior thigh was identified and repaired. Her Focused Assessment Sonogram for Trauma (FAST) exam was negative.
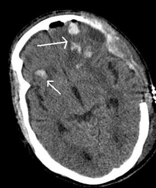
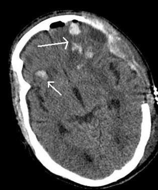
A computed tomography (CT) scan of her head revealed multifocal, punctuate brain hemorrhages, consistent with a diffuse axonal injury (DAI) (Figure 1, her initial head CT scan). CT scans of the cervical spine, chest, abdomen, and pelvis revealed bilateral spinous process fractures of C7, T1, and T2, a mid sternal body fracture, bilateral pulmonary contusions, and a distal right clavicle fracture. She also sustained a cardiac contusion associated post-injury arrhythmias, which were treated conservatively. An external ventricular drainage device was placed by neurosurgery to help monitor and manage her intracranial pressure and maintain her cerebral perfusion pressure within acceptable limits.
Figure 1: Shows a CT scan of the head with multiple punctuate hemorrhage and DAI.Upon her admission to the surgical intensive care unit (SICU), she was started on a regimen of vitamin D3 50,000 international units (IU), progesterone 20 mg, omega-3 fatty acids 2 grams (Loveza), and enteral glutamine 20 grams via her nasogastric tube (NGT). Her decerebrate posturing resolved in less than 24 hours. By hospital day 3, she was able to follow simple commands while off sedation.
Her GCS and clinical status continued to improve and she was able to be extubated on hospital day 9. She was discharged to inpatient rehabilitation on hospital day 18. Although her GCS improved to 12 prior to rehab transfer, some residual right sided weakness remained. She rapidly progressed to a GCS of 15 during her recovery and was discharged home from inpatient rehab doing well after 1 month. In less than 3 months after her initial insult, she has returned to school full time and is completing her senior year of high school with her right sided weakness essentially resolved.
Case 2: Patient 2 is a 31-year-old male who was brought to the Emergency Room by ambulance due to altered mental status (AMS) and a witnessed seizure following an assault with suspected head trauma. He suffered blunt force trauma to his head secondary to being struck with a brick. His primary and secondary examinations were unremarkable with the exception of a GCS of 9. His vital signs were within normal limits and his hemodynamics were stable.
A CT scan of the head revealed a bilateral frontal intraparenchymal hemorrhage, with left frontal, parietal, temporal subdural hematomas (SDH), a left frontal subarachnoid hemorrhage (SAH) with a 7 mm right to left midline shift, cerebral edema and effacement of left frontal horn and right temporal hematoma (Figure 2, his initial CT scan of the head). CT scan of the cervical spine, chest, abdomen, and pelvis were unremarkable.
On tertiary survey, his past medical history was noted to be significant for human immunodeficiency virus (HIV positive) infection, hepatitis A, syphillis, shingles, and alcohol abuse. His CD4 T-cell count on admissions was 46 (normal>500), consistent with a diagnosis of acquired immunodeficiency syndrome.
His mental status declined rapidly during his initial evaluation and management period in the ED, and he was taken to the operating room by neurosurgery for an emergent depressive hemicraniectomy. Due to the severity of his head injury and his multiple comorbidities, the patient's prognosis was deemed to be very poor by the neurosurgery service. Upon admission to the SICU, his GCS was 3T out of 15. He was subsequently started on our NATBI protocol, with a regimen of vitamin D3, progesterone, loveza, and glutamine immediately via orogastric tube.
His postoperative course was complicated by acute respiratory distress syndrome (ARDS), ventilator associated pneumonia (VAP) and acute sepsis. However, his condition improved with intravenous antibiotics, ventilatory management, and nutritional support. His GCS continually improved over the course of his ICU stay and he was able to be discharged to a long-term rehabitation facility on hospital day 18 with a GCS score of 11T breathing spontaneously via his tracheostomy. One month after discharge, he was evaluated in the trauma clinic and was noted to have a GCS of 15. He was tolerating a regular diet, ambulating without assistance, and adjusting very well to home life. The only deficits reported were some memory loss, which he noted was improving on a daily basis.
Figure 2: Shows the following: A CT scan of the head revealed a bilateral frontal intraparenchymal hemorrhage, left frontal, parietal, temporal subdural hematomas (SDH), a left frontal subarachnoid hemorrhage (SAH) with a 7mm right to left midline shift, cerebral edema and effacement of left frontal horn and right temporal hematoma.Case 3: Patient 3 is a 23-year-old female who was an unrestrained passenger involved in a single car MVC (hit a tree) with a fatality at the scene. Patient had a GCS of 3 out of 15 in the field with decerebrate posturing, according to emergency medical personnel. She was immediately intubated by paramedics at the scene.
Physical examination in the emergency department was notable in that the patient was initially hemodynamically unstable with a blood pressure of 90/60 mmHg, pulse of 128, respiratory rate of 18, and oxygen saturation of 100%. She required four units of packed red blood cells plus three liters of isotonic crystalloid to become hemodynamically stable.Figure 3: Shows a CT scan of the head which reveals a (Figure 3A) diffuse SAH over the left frontoparietal lobes, cerebral edema; SDH; DAI; transtentorial herniation; and tonsillar herniation Figure 3A.
Her pupils were 5 mm and sluggishly reactive to light bilaterally. She had massive facial edema and swelling. Her endotracheal tube was intact and in good position and confirmed with positive end-tidal CO2.
CT scans of the head, face and cervical spine revealed the following: Diffuse SAH over the left frontoparietal lobes; cerebral edema; SDH; DAI; transtentorial herniation; tonsillar herniation (Figure 3); fracture of the right mandibular angle, body, and parasymphysis; but no cervical spine fracture or dislocation.
CT scans of the chest, abdomen, and pelvis showed the following: a mid sternal fracture; bilateral, multiple rib fractures; left pulmonary contusion; Grade 1 splenic laceration; and a left acetabular fracture. X-rays of the lower extremities revealed a right distal tibia/fibula fracture, which was stabilized by orthopedic surgery.
An EVD monitor was placed and revealed that the patient had an opening cerebral perfusion pressure of 27 cm H2O. Standard protocol for patients with elevated ICP was initiated. Patient was admitted to the SICU and started on our NATBI protocol consisting of vitamin D3, progesterone, omega-3 fatty acid, and glutamine.
She had a prolonged hospital course which was complicated by refractory elevation of her ICP's, prolonged coma with a depressed GCS of 4T to 8T, ventilator-associated pneumonia (VAP), urinary tract infection (UTI) with urosepsis, candidemia with fungal sepsis, and acute renal insufficiency.
Patient was transferred on hospital day #109 with a GCS of 8T and breathing spontaneously on tracheostomy collar to a long-term rehab facility. She continued to make satisfactory improvement during rehab, and was discharged from the long-term rehabilitation facility to home six weeks later with a GCS of 12 to 13, talking, following commands, and eating with assistance. Patient was not ambulating when discharged and will require extensive ongoing physical therapy. She was lost to follow after discharge from the rehabilitation center.
All three patients, who had a very poor prognosis, survived their severe TBI and had a return of recovery to a GCS of 15 out of 15. Six months follow up revealed that all three patients short-term memory lost had resolved.DISCUSSION
Emerging understanding of NATBI has a very promising future in the treatment of TBI. Vitamin D (classified as a vitamin) is actually a steroid hormone with pleiotrophic effects, which includes its action as immune modulator 6. Of note, receptors for vitamin D are located on every cell and tissue of the human body including brain tissue. Vitamin D has been discovered to be a very important in immunomodulation, regulation of inflammation and cytokines, such as IL-1 beta and tumor necrosis factor-alpha (which increases brain cell edema), cell proliferation, cell differentiation, apoptosis, and angiogenesis, in addition to the traditional calcium, magnesium, phosphate homeostasis, and bone formation. Consequently, deficiency of vitamin D affects more than 70% of the United States general population, and has been found to be associated with worsening of many inflammatory conditions. [7-9].
Even more important to brain health, vitamin D binds receptors in brain cells help to produce heat shock proteins (HSP), which act as chaperone proteins that make the cells more resistant to stress [10,11]. Heat shock proteins help brain cell proteins maintain their 3-D shape/conformation during stress, ischemia, hyperthermia, hypothermia, hyperglycemia, hypoglycemia, hypertension, and hypotension. Loss of 3-D protein shape by neuronal cells results in loss of cellular function, which predisposes the brain cell to apoptosis and cell death [12]. All cells in the human body are capable of producing HSP. Therefore, low vitamin D levels may be associated with lower levels of HSP. Thus, vitamin D deficient neuronal cells are less likely to survive a stressful situation event, such as trauma or ischemia to the brain. HSP has anti-apoptotic (prevents programmed brain cell death) and anti-inflammatory properties, which also decreases cerebral edema[13,14]. HSP play a very important and central role in brain cell survival and resiliency after a traumatic brain injury.
Recent research has shown that progesterone is a neuroprotectant that works synergistically with vitamin D in protecting the nerve cell from injury. Progesterone has been shown to protect the brain from traumatic injury and is now in Phase III clinical trials. However, studies have shown that progesterone's beneficial effects can be ameliorated in vitamin D deficient patients. Vitamin D can modulate neuronal apoptosis, trophic factors, inflammation, oxidative stress, excitotoxicity, and myelin and axon repair (Hua F, Stein DG Horm Behav 2012). Low dose vitamin D hormone plus progesterone has been demonstrated by Hua et al. to improve performance in acquisition more effectively than progesterone alone, suggesting that a lower dose of activated vitamin D may be optimal for combination therapy. Their data support that the combination of progesterone and vitamin D is more effective than progesterone alone in preserving spatial and reference memory (Hua F, Stein DG Horm Beh 2012).
According to the CDC, up to 80% of the United States population is omega-3 fatty acid deficient. As 30% of human brain tissue is made up of omega-3 fatty acid, emerging evidence suggests that supplementing TBI patients with omega-3 fatty acid may help the injured brain to repair itself. This makes omega-3 fatty acid a very essential adjunct in the treatment of severe TBI. A broken brick wall is repaired with bricks and not straw. The same analogy applies to the brain. It needs omega-3 fatty acid to heal properly. Also, omega-3 fatty acids are anti-inflammatory and works very well with vitamin D3 in down-regulating inflammation, which counteracts cerebral edema/swelling.
Thus, vitamin D deficiency and omega-3 fatty acids deficiency may work synergistically to worsen outcome in patients with TBI. As both are very prevalent in the general U.S. population, and even more pronounced in critically ill patients with TBI, at-risk patients should be routinely supplemented with vitamin D and omega-3 fatty acids, in our opinion. In fact, vitamin D levels less than 17.8 ng/mL has been shown to be associated with a 28% increased all-causes risk of premature death 6. Equally important, omega-3 fatty acid deficiency is associated with over 96,000 preventable deaths in the U.S. annually according to a recent report from the CDC. Therefore, nutritional deficiencies of these two supplements can potentially have a grave impact on the clinical outcomes of TBI patients.
On the other hand, glutamine is a non-essential amino acid that becomes a conditionally essential amino acid during periods of stress. Glutamine is the most abundant amino in human skeletal muscle. During stress, glutamine is used as the primary energy source for rapidly dividing cells and is used by the liver to make glucose via gluoneogenesis to supply glucose to the brain, red blood cells, enterocytes of the small bowel, and the cell of the immune system. Glutamine also works synergistically with vitamin D3 to increase HSP70 [15,16]. Thus, adequate levels of glutamine and vitamin D3 are needed to produce a optimal concentrations of HSP70 in brain cells, which potentially work together to protect the injured brain from ongoing insult or injury.
Of note, there were no side effects or complications from treating these three patients with our NATBI therapeutic regimen using the combination of supplements as noted above. Increasing data suggests that each supplement in the NATBI protocol is essential to obtaining optimal clinical outcomes in severe TBI patients. This novel approach (NATBI protocol) to treating TBI patients works by down-regulating multiple inflammatory response pathways which produces cerebral edema, upregulating HSP which helps injured brain cells survive stress of any kind, and by helping the brain to repair itself with omega-3 fatty acid.CONCLUSION
We have reported a case series of three patients with very severe TBI's who were managed with vitamin D3, progesterone, omega-3 fatty acids, and glutamine. All three patients were presented in a coma, and had very poor and grave prognoses based on their CT scan and neurosurgical consultation/recommendations. They are now well adjusted and have returned to their mental baselines with minimal long-term affects of TBI, other than short-term memory loss which is rapidly improving. A large clinical study trial using these four neuroceutical supplements is warranted.
Our group is the first to report in literature the multi-component therapeutic regimen of vitamin D3, progesterone, omega-3 fatty acids, and glutamine as a combination therapy for moderate and severe TBI treatment, which we have termed neuroceutical augmentation for TBI (NATBI). A large clinical study trial using these four supplements together is warranted. The potential for improving clinical outcomes and potentially decreasing healthcare costs associated with TBI patients is limitless.References
- 1. Faul M, Xu l, Wald MM, Coronado VG. Traumatic brain injury in the united states: emergency department visits, hospitalizations, and deaths. Atlanta (ga): centers for disease control and prevention, national center for injury prevention and control 2010.
- 2. Atif F, Saveed I, Ishrat T, Stein DG. Progesterone with vitamin D affords better neuroprotection against excitotoxicity in cultured cortical neurons than progesterone alone. Mol Med 2009 Sept-Oct;15(9-10):328-6.
- 3. Cekic M, Saveed I, Stein DG. Combination treatment with progesterone and vitamin D hormone may be more effective than monotherapy for nervous system injury and disease. Front Neuroendocrine 2009 Jul;30(2):158-72.
- 4. Lewis MD, Bailes J. Neuroprotection for the warrior: dietary supplementation with omega-3 fatty acids. Mil Med 2011 Oct;176(10):1120-7.
- 5. Yang DL, Xu JF. Effect of dipeptide of glutamine and alanine on severe traumatic brain injury. Chin J Traumatol 2007 Jun;10(3):145-9.
- 6. Matthews LR, Ahmed Y, Wilson KL, Griggs DD, Danner OK. Worsening severity of vitamin D deficiency is associated with increased length of stay, surgical intensive care unit cost, and mortality rate in surgical intensive care unit patients. Am J Surg 2012 Jul;204(1):37-43.
- 7. Holick MF. Vitamin D deficiency. N Engl J Med 2007 Jul 19;357(3):266-81.
- 8. Ginde AA, Liu MC, Camargo CA Jr. Demographic differences and trends of vitamin D insufficiency in the US general population, 1988-2004. Arch Intern Med 2009;169(6):626-32.
- 9. Hamada Y, Fukagawa M. [The pleiotropic effects of vitamin d on kidney disease]. Clin Calcium 2007;17(5):712-7.
- 10. Lutz W, Kohno K, Kumar R. The role of heat shock protein 70 in vitamin D receptor function. Biochem Biophys Res Commun 2001 Apr20;282(5):1211-9.
- 11. Dutcher SA, Underwood BD, Walker PD, Diaz FG, Michael DB. Patterns of heat-shock protein 70 biosynthesis following human traumatic brain injury. J Neurotrauma 1998 Jun;15(6):411-20.
- 12. Kell S, Yenari MA. Neuroprotection: heat shock proteins. Curr Med Res Opin 2002;18 Suppl 2:s55-60.
- 13. Yenari MA, Liu J, Zheng Z, Vexler ZS, Lee JE, Giffard RG. Antiapoptotic and anti-inflammatory mechanisms of heat-shock protein protection. Annals of the New York Academy of Sciences 2005 Aug;1053:74-83.
- 14. Kim N, Kim JY, Yenari MA. Anti-inflammatory properties and pharmacological induction of HSP 70 after brain injury. Inflammopharmacology 2012 Jun;20(3):177-85.
- 15. Wischmeyer PE. Glutamine and heat shock protein expression. Nutrition 2002 Mar;18(3);225-8.
- 16. Ziegler TR, Ogden LG, Singleton KD, et al. Parenteral glutamine increases serum heat shock protein 70 in critically ill patients. Intensive Care Med 2005 Aug:31(8):1079-86.
Short url = http://is.gd/NATBITraumatic brain injury treated by Vitamin D Progesterone Omega-3 and glutamine – May 2013Printer Friendly Follow this page for updates48087 visitors, last modified 14 May, 2019, This page is in the following categories (# of items in each category)