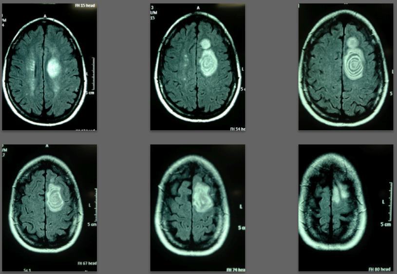
Dr. Coimbra, in Brazil,
Has found that large doses of vitamin D: 20,000 to 150,000 IU/day results in remission of recent cases of Multiple Sclerosis.
Specifically: Recent lesions appeared partially repaired or disappeared on MRI scans after one and two years of treatment.
Biomarkers in Multiple Sclerosis: An Up-to-Date Overview Jan 2013
Shows that MRI is one of many MS biomarkers
The following is a small portion of a large table of MS biomarkers
PDF is attached at the bottom of this page
Vitamin D status predicts new brain magnetic resonance imaging activity in multiple sclerosis
Annals of Neurology. Volume 72, Issue 2, pages 234–240, August 2012, DOI: 10.1002/ana.23591
Ellen M. Mowry MD, MCR1,*, Emmanuelle Waubant MD, PhD1, Charles E. McCulloch PhD2, Darin T. Okuda MD3, Alan A. Evangelista BA1, Robin R. Lincoln BS1, Pierre-Antoine Gourraud PhD1, Don Brenneman BA1, Mary C. Owen NP1, Pamela Qualley MA1, Monica Bucci MD4,5, Stephen L. Hauser MD1, Daniel Pelletier MD1,6,*
Objective: We sought to determine whether vitamin D status is associated with developing new T2 lesions or contrast-enhancing lesions on brain magnetic resonance imaging (MRI) in relapsing multiple sclerosis (MS).
Methods: EPIC is a 5-year longitudinal MS cohort study at the University of California at San Francisco. Participants had clinical evaluations, brain MRI, and blood draws annually. From the overall cohort, we evaluated patients with clinically isolated syndrome or relapsing–remitting MS at baseline. In univariate and multivariate (adjusted for age, sex, ethnicity, smoking, and MS treatments) repeated measures analyses, annual 25-hydroxyvitamin D levels were evaluated for their association with subsequent new T2-weighted and gadolinium-enhancing T1-weighted lesions on brain MRI, clinical relapses, and disability (Expanded Disability Status Scale [EDSS]).
Results: A total of 2,362 3T brain MRI scans were acquired from 469 subjects. In multivariate analyses, each 10ng/ml higher 25-hydroxyvitamin D level was associated with a 15% lower risk of a new T2 lesion (incidence rate ratio [IRR], 0.85; 95% confidence interval [CI], 0.76–0.95; p = 0.004) and a 32% lower risk of a gadolinium-enhancing lesion (IRR, 0.68; 95% CI, 0.53–0.87; p = 0.002). Each 10ng/ml higher vitamin D level was associated with lower subsequent disability (−0.047; 95% CI, −0.091 to −0.003; p = 0.037). Higher vitamin D levels were associated with lower, but not statistically significant, relapse risk. Except for the EDSS model, all associations were stronger when the within-person change in vitamin D level was the predictor.
Interpretation: Vitamin D levels are inversely associated with MS activity on brain MRI. These results provide further support for a randomized trial of vitamin D supplementation.
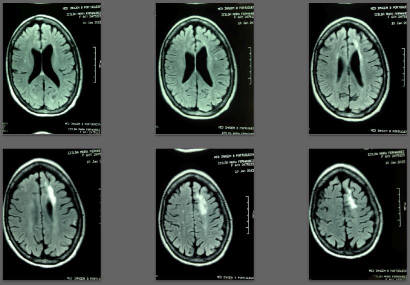
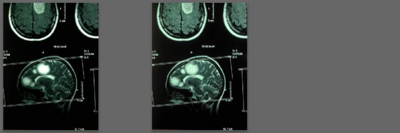
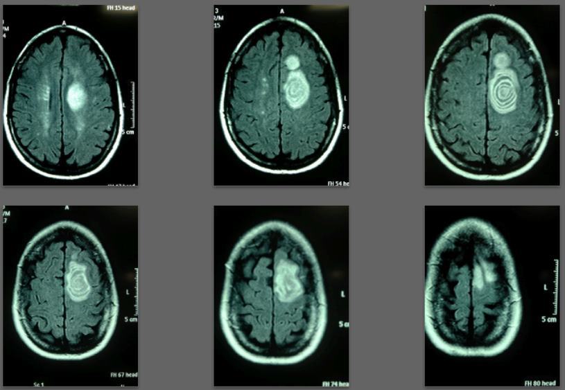
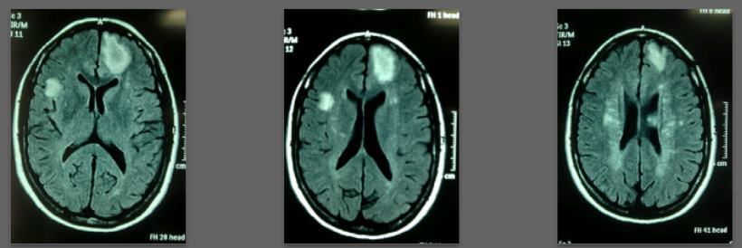
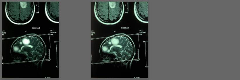
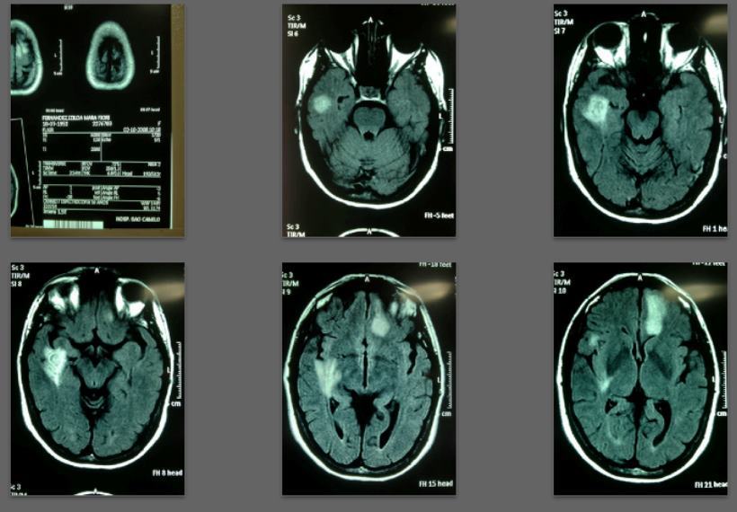
Before/after MRI images for one of 1,000+ patients of Dr. Coimbra
PDF is attached at the bottom of this page
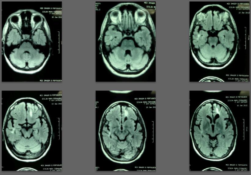
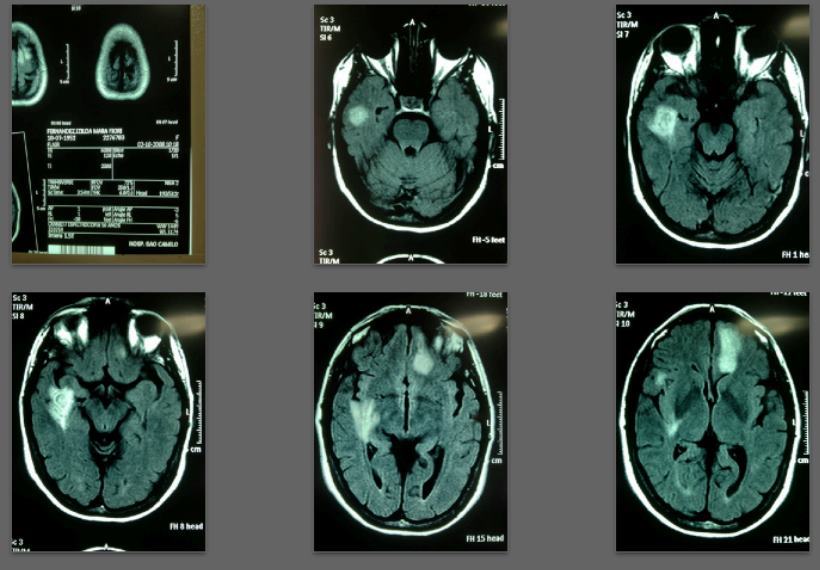
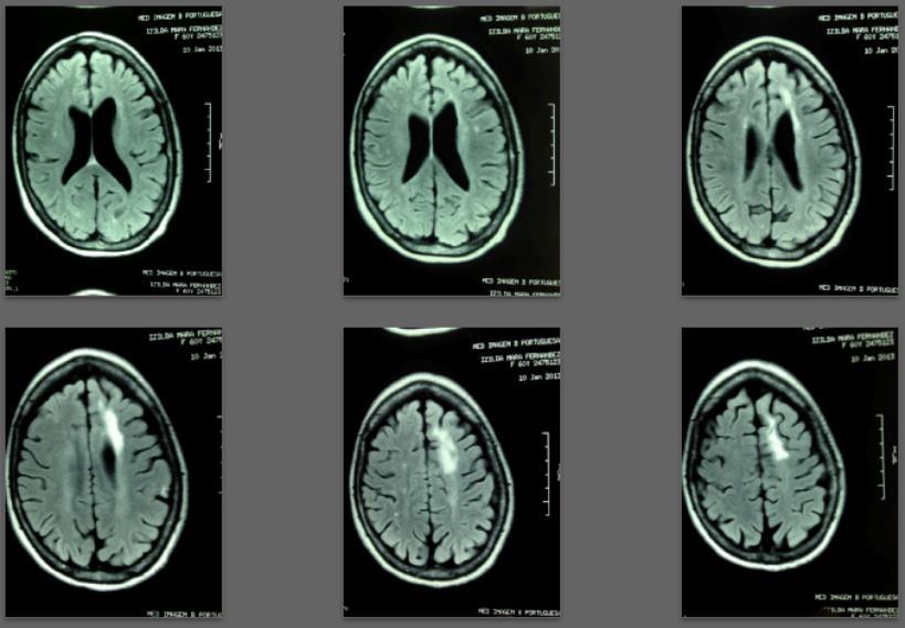
2008 Convulsive seizures Diagnosis: Balo’s concentric hemiparesis
Starting daily dose 25,000 IU; increased in stages to 80,000 IU on October 28, 2010. Asymptomatic since 2010.
2008 MRI
2013 MRI
See also VitaminDWiki
- Overview MS and vitamin D
- 1000 IU per kg Vitamin D for autoimmune diseases – Coimbra Aug 2013
- Video by Dr. Coimbra – 95 percent of auto-immune cured with vitamin D in high doses - April 2014
- White Matter Hyperintensities (brain) 1.8X more likely if 10 ng less vitamin D - meta-analysis Jan 2022
- All items in category MS and vitamin D
434 items - Autoimmune disorder patients in Brazil helped by vitamin D – video and Facebook – Nov 2012 the main page for the study on this page
- Fewer white spots in MRI brain scans if had more vitamin D – Jan 2014
Short url =http://is.gd/MSMRIAppears that Vitamin D can induce remission in recent Multiple SclerosisPrinter Friendly Follow this page for updates28428 visitors, last modified 31 Jan, 2022, This page is in the following categories (# of items in each category)Attached files
ID Name Uploaded Size Downloads 2397 MRIs of October 2008 & January 2013.pdf admin 19 Apr, 2013 2.41 Mb 1173 2396 2013d.jpg admin 19 Apr, 2013 26.70 Kb 4585 2395 2013c.jpg admin 19 Apr, 2013 60.45 Kb 4739 2394 2013b.jpg admin 19 Apr, 2013 31.51 Kb 8780 2393 2013a.jpg admin 19 Apr, 2013 64.59 Kb 4858 2392 2008d.jpg admin 19 Apr, 2013 21.65 Kb 4613 2391 2008c.jpg admin 19 Apr, 2013 58.87 Kb 8526 2390 2008b.jpg admin 19 Apr, 2013 34.00 Kb 13038 2389 2008a.jpg admin 19 Apr, 2013 67.71 Kb 5880 2388 Biomarkers.jpg admin 19 Apr, 2013 71.12 Kb 6090 2387 MS Biomarkers.pdf admin 19 Apr, 2013 702.94 Kb 2912