Loading...
 

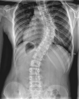
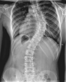
Adolescent idiopathic scoliosis 2 X more likely in Asians with poor Vitamin D Receptor

Image


Vitamin D receptor problems increases risk of AIS by 2X to 3X in Asians - Meta-analysis Jan 2018

Association of vitamin D receptor BsmI rs1544410 and ApaI rs7975232 polymorphisms with susceptibility to adolescent idiopathic scoliosis: A systematic review and meta-analysis.
Medicine (Baltimore). 2018 Jan;97(2):e9627. doi: 10.1097/MD.0000000000009627
Yin X1, Wang H1, Guo J1, Zhang L2, Zhang Y1, Li L1, Hou S1.

BACKGROUND:
AIS is the most common spinal deformity disease, yet its etiology remains uncertain. Significant associations have been found between AIS risk and vitamin D receptor (VDR) gene polymorphisms; however, some of these results are controversial. The aim of this study was to determine whether VDR BsmI rs1544410 and ApaI rs7975232 polymorphisms are correlated with AIS.

METHODS:
Databases, including PubMed, EMBASE, Web of Science, the Cochrane Library, the Chinese Biomedical Literature Database, and the Wanfang Database, were systematically searched, and eligible case-control studies that explored the association of VDR (BsmI and ApaI) and the susceptibility to AIS were selected. The pooled odds ratio (OR) with 95% confidence interval (95% CI) was calculated to assess the associations, and subgroup meta-analyses were performed according to the ethnicity of the study population.

RESULTS:
A total of 5 studies with 717 cases and 554 controls fulfilled the inclusion criteria after assessment by 2 reviewers. Generally, significant correlations were found between the BsmI polymorphism and AIS risk in overall populations and in Asian populations (overall population: B vs b:OR = 2.12, 95% CI = 1.21-3.75, P = .009; BB vs bb: OR = 3.38, 95% CI = 1.08-10.57, P = .036; Bb vs bb: OR = 2.50, 95% CI = 1.29-4.82, P = .006; BB/Bb vs bb: OR = 2.71, 95% CI = 1.31-5.63, P = .007; Asian population: B vs b: OR = 2.42, 95% CI = 1.27-4.61, P = .007; BB vs bb: OR = 4.09, 95% CI = 1.03-16.22, P = .045; Bb vs bb: OR =  2.94, 95% CI = 1.42-6.10, P = .004; BB/Bb vs bb: OR = 3.23, 95% CI = 1.42-7.35, P = .005). There was no significant association observed in Caucasian populations (all P > .05). With regard to the ApaI polymorphism, we found that it significantly decreased the risk of AIS (Aa vs AA: OR = 0.43, 95% CI = 0.24-0.77, P = .004; Aa/aa vs AA: OR = 0.52, 95% CI = 0.30-0.91, P = .023); however, we could not draw a definitive conclusion for Caucasian populations, as no studies have been conducted in this group to determine the role of the VDR ApaI polymorphism in AIS etiology and development.

CONCLUSION:
VDR BsmI was significantly associated with AIS susceptibility in the overall and Asian populations, while the VDR ApaI polymorphism only played a key role in AIS etiology and development in Asian populations.

PMID: 29480871 DOI: 10.1097/MD.0000000000009627


AIS 2X more likely in Asians if poor Vitamin D Receptor - May 2018

Association between polymorphisms in vitamin D receptor gene and adolescent idiopathic scoliosis: a meta-analysis
European Spine Journal, Online: 04 May 2018 https://doi.org/10.1007/s00586-018-5614-0
Jun DaiZheng-tao LvJun-ming Huang, Peng Cheng, Huang Fang, An-min Chen

Purpose:This meta-analysis was performed to clarify whether the two single nucleotide polymorphisms (ApaI and BsmI) in vitamin D receptor (VDR) gene conferred susceptibility to adolescent idiopathic scoliosis (AIS).

Methods: A comprehensive literature search in five online databases (PubMed, EMBASE, ISI Web of Science, CNKI, and Wanfang) was performed to identify studies that analyzed the association between VDR gene polymorphisms and risk of AIS. Observational studies met the predetermined inclusion criteria were selected for meta-analysis. The most appropriate genetic model was identified using a genetic model-free approach. Meta-analysis was performed using RevMan 5.3 software.

Results
Five eligible studies were included in this meta-analysis, which involved a total of 717 cases and 554 controls. A statistically significant association was observed between BsmI polymorphism and AIS (OR 1.90, 95% CI 1.32, 2.62).
In subgroup analysis by ethnicity, the association between BsmI polymorphism and AIS was significant in Asians (OR 2.06, 95% CI 1.56, 2.73) but not in Caucasians (OR 0.70, 95% CI 0.23, 2.19). However, the ApaI polymorphism was not associated with AIS. Moreover, no evidence of association between BMD and the two VDR gene polymorphisms was detected.

Conclusions: Meta-analysis of existing data suggested that BsmI was associated with increased risk of AIS in Asian populations. Nevertheless, further studies with rigorous design and more ethnic groups are encouraged to validate our findings.


Vitamin D Receptor in VitaminDWiki

Vitamin D Receptor category has the following

548 studies in Vitamin D Receptor category

Vitamin D tests cannot detect Vitamin D Receptor (VDR) problems
A poor VDR restricts Vitamin D from getting in the cells

See also: 52 studies in the Resveratrol category

It appears that 30% of the population have a poor VDR (40% of the Obese )
Several diseases protect themselves by deactivating the Vitamin D receptor. Example: Breast Cancer
- - - - - - - -
The Vitamin D Receptor is associated with many health problems

Health problems include: Autoimmune (19 studies), Breast Cancer (24 studies), Colon Cancer (14 studies), Cardiovascular (23 studies), Cognition (17 studies), Diabetes (25 studies), Hypertension (9 studies), Infant (23 studies), Lupus (6 studies), Metabolic Syndrome (4 studies), Mortality (4 studies), Multiple Sclerosis (17 studies), Obesity (17 studies), Pregnancy (25 studies), Rheumatoid Arthritis (11 studies), TB (8 studies), VIRUS (41 studies),   Click here for details
Some health problems, such as Breast Cancer, Diabetes, and COVID protect themselves by reducing VDR activation

55 health problems associated with poor VDR


A poor VDR is associated with the risk of 55 health problems  click here for details
The risk of 48 diseases at least double with poor VDR as of Jan 2023  click here for details
Some health problem, such as Breast Cancer reduce the VDR

VDR at-home test $29 - results not easily understood in 2016
There are hints that you may have inherited a poor VDR


How to increase VDR activation


Compensate for poor VDR by increasing one or more:

IncreasingIncreases
1) Vitamin D supplement  Sun
Ultraviolet -B
Vitamin D in the blood
and thus in the cells
2) MagnesiumVitamin D in the blood
 AND in the cells
3) Omega-3 Vitamin D in the cells
4) Resveratrol Vitamin D Receptor
5) Intense exercise Vitamin D Receptor
6) Get prescription for VDR activator
   paricalcitol, maxacalcitol?
Vitamin D Receptor
7) Quercetin (flavonoid) Vitamin D Receptor
8) Zinc is in the VDRVitamin D Receptor
9) BoronVitamin D Receptor ?,
etc
10) Essential oils e.g. ginger, curcuminVitamin D Receptor
11) ProgesteroneVitamin D Receptor
12) Infrequent high concentration Vitamin D
Increases the concentration gradient
Vitamin D Receptor
13) Sulfroaphane and perhaps sulfurVitamin D Receptor
14) Butyrate especially gutVitamin D Receptor
15) BerberineVitamin D Receptor

Note: If you are not feeling enough benefit from Vitamin D, you might try increasing VDR activation. You might feel the benefit within days of adding one or more of the above

Far healthier and stronger at age 72 due to supplements Includes 6 supplements that help the VDR


Increased risk of diseases if poor VDR

Increased risk associated with a poor Vitamin D Receptor
   Note: Some diseases reduce VDR activation
those with a * are known to decrease activation

Risk
increase
Health Problem
50Lyme Disease *
28Leprosy - another says 3X
15Chronic Heart Failure
15Temporary hair loss
14.7Childhood solid cancers
14Hand, Foot, and Mouth disease
13Sepsis
12COVID Death
11Metabolic Syndrome
9.6Chronic Periodontitis
   and smoke
8Juvenile Rheumatoid Arthritis
8.0Preterm birth
7.6Crohn's disease
7.5Respiratory Tract Infections
7.0Lung Cancer
5.8Low back pain in athletes
5 Respiratory Distress in preemies
5Ulcerative Colitis
5Coronary Artery Disease
5Asthma Child see also 1.3, 2.0 and 3.7
4.6Breast Cancer * 16.9 X another study
4.3Severe COVID in kids
4.1Vitiligo
4Liver Cirhosis
4Polycystic ovary syndrome
3.8Lupus
3.6 Pneumonia - children
3.3 Pre-term birth
3.1 Colon Cancer survival
3 Multiple Sclerosis
3Dengue
3 Waist size
3 Ischemic Stroke
3Alzheimer’s
9X in women
3Parkinson’s
3Gestational Diabetes
2.9Hand, Foot, Mouth Disease
2.8Osteoporosis & COPD
2.7Gastric Cancer
2.6Lupus in children
2.5 Lumbar Disc Degeneration
2.4Lung Cancer
2.3Cardio
2.3Autism
2.2Juvenile idiopathic arthritis
2.1Adolescent idiopathic scoliosis in Asians
2Obesity
2Diabetic Retinopathy
2Parkinson's
2 Wheezing/Asthma see also 5X
2 Melanoma   Non-melanoma Skin Cancers
2Myopia
2Preeclampsia
1.9Uterine Fibroids
1.9Early tooth decay
1.8Diabetic nephropathy
1.8Sleep Apnea
1.6Diabetes - Type I
1.6Prostate Cancer while black
1.5 Diabetes -Type II
1.5Gout
1.5Pertussis
1.5Obesity
1.4Graves Disease
1.4 Rheumatoid arthritis
1.3Hypertension
1.3Childhood asthma see also 5X
1.3Psoriasis in Caucasians
1.3Tuberculosis

--

Do not test AIS for low vitamin D (correct : poor receptor is not noticed by vitamin D test) - Jan 2018

Do not screen Adolescents for Idiopathic Scoliosis -US Preventive Services Task Force Recommendation Statement - Jan 2018
JAMA. 2018;319(2):165-172. doi:10.1001/jama.2017.19342

Importance  Adolescent idiopathic scoliosis, a lateral curvature of the spine of unknown cause with a Cobb angle of at least 10°, occurs in children and adolescents aged 10 to 18 years. Idiopathic scoliosis is the most common form and usually worsens during adolescence before skeletal maturity. Severe spinal curvature may be associated with adverse long-term health outcomes (eg, pulmonary disorders, disability, back pain, psychological effects, cosmetic issues, and reduced quality of life). Early identification and effective treatment of mild scoliosis could slow or stop curvature progression before skeletal maturity, thereby improving long-term outcomes in adulthood.

Objective  To update the 2004 US Preventive Services Task Force (USPSTF) recommendation on screening for idiopathic scoliosis in asymptomatic adolescents.

Evidence Review  The USPSTF reviewed the evidence on the benefits and harms of screening for and treatment of adolescent idiopathic scoliosis.

Findings  The USPSTF found no direct evidence on screening for adolescent idiopathic scoliosis and health outcomes and no evidence on the harms of screening. The USPSTF found inadequate evidence on treatment with exercise and surgery. It found adequate evidence that treatment with bracing may slow curvature progression in adolescents with mild or moderate curvature severity (Cobb angle <40° to 50°); however, evidence on the association between reduction in spinal curvature in adolescence and long-term health outcomes in adulthood is inadequate. The USPSTF found inadequate evidence on the harms of treatment. Therefore, the USPSTF concludes that the current evidence is insufficient and that the balance of benefits and harms of screening for adolescent idiopathic scoliosis cannot be determined.

Conclusions and Recommendation  The USPSTF concludes that the current evidence is insufficient to assess the balance of benefits and harms of screening for adolescent idiopathic scoliosis in children and adolescents aged 10 to 18 years. (I statement)


Dark skinned AIS girls were 3.6 X more likely to have low vitamin D - May 2019

Impact of Race Subgroups on the Assessment of Vitamin D Status in Adolescent Idiopathic Scoliosis.
Orthopedics. 2019 May 1;42(3):158-162. doi: 10.3928/01477447-20190424-07.

The authors' main objective was to demonstrate the confounding effect of combining subgroup data, specifically race, on the prevalence of vitamin D deficiency in adolescent idiopathic scoliosis (AIS). This was a retrospective chart review. Vitamin D deficiency was defined as 25-hydroxyvitamin D (25OHD) less than 20 ng/mL. Data were compared between white patients and black and Hispanic patients. Vitamin D status in girls with AIS was also compared with that in girls without AIS who had a history of fracture and with the medical literature to determine if deficiency in AIS was equal to or greater than other cohorts. Mean age was 13.9±2.3 years for the white girls with AIS (n=221) and 13.6±2.2 years for pooled non-whites (n=134). Significant racial differences were found that biased interpretation of the total pooled cohort. Mean 25(OH)D was 27.9±8.5 ng/mL for white girls with AIS vs 21.9±10.3 ng/mL for non-whites (P<.0001). Deficiency was present in 13.1% of white girls vs 47.8% of non-white girls (P<.0001). Compared with girls with fractures and with the published literature, the race-matched deficiency rates were not abnormally high in girls with AIS. Prevalence of deficiency was greater in non-whites with AIS than in whites. However, percent deficiency was not greater in girls with AIS than in race-matched cohorts without AIS. Without separating data by race, interpretation of vitamin D status can be confounded.


Created by admin. Last Modification: Saturday May 18, 2019 11:04:47 GMT-0000 by admin. (Version 11)

Attached files

ID Name Comment Uploaded Size Downloads
9826 AIS.jpg admin 08 May, 2018 14.02 Kb 1670